Colloidal Iron
|
Validation Stain: Muller-Mowry
|
PRODUCT SPECIFICATIONS:
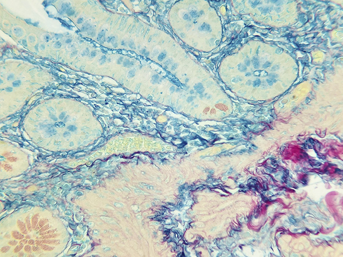
Tissue: Positive staining small intestine.
Fixation: Formalin 10%, Phosphate Buffered (Part 1090).
Section/Glass: Paraffin sections cut at 4 microns on Superfrost™ Plus slides.
Quality Control Stain: Müller-Mowry Colloidal Iron quality control stained slide(s) included.
Reactivity: Guaranteed product specific reactivity for one year from date of receipt. Revalidate after one year to verify continued reactivity.
Storage: 15-30°C in a light deprived and humidity controlled environment.
Intended Use: To verify histological techniques and reagent reactivity.
Before using unstained control slides, review the enclosed stained slide(s) to ensure that this tissue source is acceptable for testing needs.
CONTROL SLIDE VALIDATION:
| With Colloidal Iron, Müller-Mowry Stain Kit: | Part 9110A | Individual Stain Solution | |
| Solution A: | Acetic Acid 12%, Aqueous | 1000 ml | |
| Solution B: | Colloidal Iron Stock | 125 ml | Part 10365 |
| Solution C: | Acetic Acid, Glacial, ACS | 50 ml | Part 10010 |
| Solution D: | Potassium Ferrocyanide 2%, Aqueous | 125 ml | |
| Solution E: | Hydrochloric Acid 2%, Aqueous | 125 ml | |
| Solution F: | Van Gieson Stain | 250 ml | Part 1404 |
APPLICATION:
Newcomer Supply Colloidal Iron Control Slides are for the positive histochemical staining of acid epithelial mucins (sialomucin, sulfomucin) and stromal (mesenchymal) mucin in tissue sections.
PRESTAINING PREPARATION:
-
- Heat dry sections in oven according to your laboratory protocol.
- Acid clean glassware prior to use to avoid residual iron staining.
-
- See Procedure Note #1.
-
- Prepare Colloidal Iron Working Solution; combine and mix well.
-
- Solution B: Colloidal Iron Stock 20 ml
- Solution C: Acetic Acid, Glacial ACS 5 ml
- Distilled Water 15 ml
-
NEWCOMER SUPPLY VALIDATION PROCEDURE:
-
- Deparaffinize sections thoroughly in three changes of xylene, 3 minutes each. Hydrate through two changes each of 100% and 95% ethyl alcohols, 10 dips each. Wash well with distilled water.
-
- See Procedure Notes #2 and #3.
-
- Place in Solution A: Acetic Acid 12%, Aqueous for 30 seconds.
- Drain Slides. Do not rinse.
- Place in Colloidal Iron Working Solution (Step #3) for 30 minutes.
- Rinse in three changes of Solution A: Acetic Acid 12%, Aqueous; 3 minutes each.
- Prepare fresh Ferrocyanide-Hydrochloric Acid Solution directly before use; combine and mix well.
-
- Solution D: Potassium Ferrocyanide 2%, Aqueous 20 ml
- Solution E: Hydrochloric Acid 2%, Aqueous 20 ml
-
- Place in Ferrocyanide-Hydrochloric Acid Solution for 15 minutes.
- Wash in running tap water for 1-5 minutes.
- Counterstain in Solution F: Van Gieson Stain for 3-5 minutes.
-
- Proceed directly to dehydration step without rinsing.
-
- Dehydrate in two changes of 100% ethyl alcohol. Clear in three changes of xylene, 10 dips each; coverslip with compatible mounting medium.
- Deparaffinize sections thoroughly in three changes of xylene, 3 minutes each. Hydrate through two changes each of 100% and 95% ethyl alcohols, 10 dips each. Wash well with distilled water.
RESULTS:
| Acid epithelial mucins | Blue |
| Stromal mucin | Blue |
| Collagen | Red |
| Muscle and cytoplasm | Yellow |
PROCEDURE NOTES:
-
- Acid clean all glassware/plasticware (Part 12086) and rinse thoroughly in several changes of distilled water.
- Drain slides after each step to prevent solution carry over.
- Do not allow sections to dry out at any point during procedure.
- Nuclear Fast Red Stain, Kernechtrot (Part 1255) is an alternative counterstain.
- If using a xylene substitute, follow manufacturer’s recommendation for deparaffinization and clearing steps.
REFERENCES:
-
- Bancroft, John D. and Marilyn Gamble. Theory and Practice of Histological Techniques. 6th ed. Oxford: Churchill Livingstone Elsevier, 2008. 175-176.
- Carson, Freida L. and Christa Hladik Cappellano. Histotechnology: A Self-instructional Text. 4th ed. Chicago: ASCP Press, 2015. 151-153.
- Rekhtman, Natasha and Justin Bishop. Quick Reference Handbook for Surgical Pathologists. Berlin: Springer, 2011. 69.
- Modifications developed by Newcomer Supply Laboratory.


