Bielschowsky
|
Validation Stain: Bielschowsky, Lester King Modified
Other Applicable Stains: Bodian, Holmes Silver Nitrate, Holzer, PTAH and Weil’s
|
-
- Tissue sections are cut at 8 microns
PRODUCT SPECIFICATIONS:
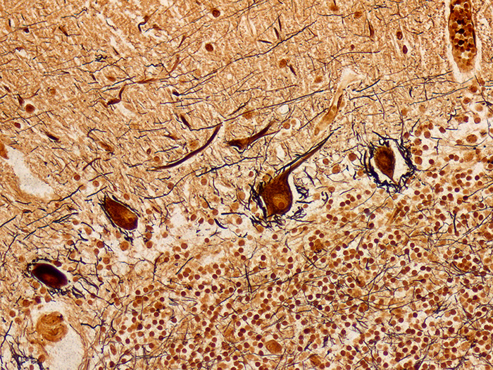
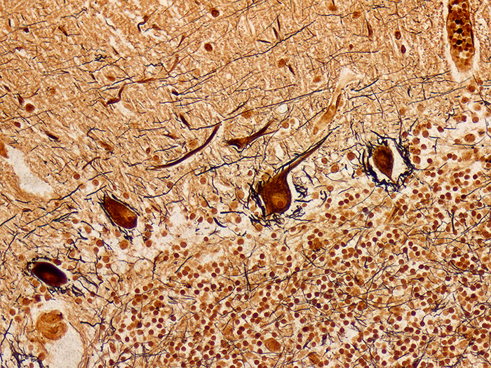
Tissue: Positive staining brain.
Fixation: Formalin 10%, Phosphate Buffered (Part 1090).
Section/Glass: Paraffin sections cut at 8 microns on Superfrost™ Plus slides.
Quality Control Stain: Bielschowsky quality control stained slide(s) included.
Reactivity: Guaranteed product specific reactivity for one year from date of receipt. Revalidate after one year to verify continued reactivity.
Storage: 15-30°C in a light deprived and humidity controlled environment.
Intended Use: To verify histological techniques and reagent reactivity.
Before using unstained control slides, review the enclosed stained slide(s) to ensure that this tissue source is acceptable for testing needs.
CONTROL SLIDE VALIDATION:
| With Bielschowsky, Lester King Modified Stain Kit: | Part 9154A | Individual Stain Solution | |
| Solution A: | Silver Nitrate 20%, Aqueous | 250 ml | Part 13807 |
| Solution B: | Ammonium Hydroxide 28-30%, ACS | 100 ml | Part 1006 |
| Solution C: | Developer | 25 ml | |
| Solution D: | Sodium Thiosulfate 5%, Aqueous | 250 ml | Part 1389 |
APPLICATION:
Newcomer Supply Bielschowsky Control Slides are for the positive histochemical staining of nerve fibers, neurofibrils/tangles, senile plaques and axons, instrumental in the diagnosis of Alzheimer’s disease and other neurological disorders.
PRESTAINING PREPARATION:
-
- Heat dry sections in oven according to your laboratory protocol.
- All glassware/plasticware must be acid cleaned prior to use.
-
- See Procedure Notes #1 and #2.
-
- Preheat Coplin jar of Solution A: Silver Nitrate 20%, Aqueous in water bath to 37°C.
- Preheat two Coplin jars of distilled water in 37°C water bath.
-
- Save for slide rinsing/holding in Steps #7 and #10.
-
NEWCOMER SUPPLY VALIDATION PROCEDURE:
-
- Deparaffinize sections thoroughly in three changes of xylene, 3 minutes each. Hydrate through two changes each of 100% and 95% ethyl alcohols, 10 dips each. Wash well with distilled water.
-
- See Procedure Notes #3 and #4.
-
- Place slides in preheated Solution A: Silver Nitrate 20%, Aqueous (Step #3) for 15 minutes.
-
- See Procedure Note #5.
-
- Remove slides from Solution A: Silver Nitrate 20%, Aqueous and hold in 1st reserved Coplin jar of preheated distilled water.
-
- Save Silver Nitrate 20%, Aqueous for Step #8.
-
- Add Solution B: Ammonium Hydroxide 28-30%, ACS drop by drop in saved Silver Nitrate 20%, Aqueous swirling until precipitate disappears. Do not go past this point.
-
- Approximately 10 ml of Ammonium Hydroxide 28-30%, ACS will be required.
-
- Place slides back in Silver Nitrate Solution with added Ammonium Hydroxide in water bath at 37°C for 10 minutes.
- Remove slides and hold in 2nd reserved Coplin jar of distilled water.
-
- Save Ammoniacal Silver Solution for Step #11.
-
- Add 1 drop of Solution C: Developer to the saved Ammoniacal Silver Solution with swirling motion.
- Return slides to Ammoniacal Silver Solution with added Developer, in 37°C water bath for 5-15 minutes; average time of 6 minutes.
-
- Check slides microscopically at 3 minutes for development of neurons to dark brown.
- Then check at 1 minute intervals to avoid over-development.
-
- Rinse thoroughly in distilled water for 5 minutes.
- Place in Solution D: Sodium Thiosulfate 5%, Aqueous; 5 minutes.
- Rinse thoroughly in tap water.
- Dehydrate in two changes each of 95% and 100% ethyl alcohol. Clear in three changes of xylene, 10 dips each; coverslip with compatible mounting medium.
- Deparaffinize sections thoroughly in three changes of xylene, 3 minutes each. Hydrate through two changes each of 100% and 95% ethyl alcohols, 10 dips each. Wash well with distilled water.
RESULTS:
| Senile plaques, neurofibrils/tangles | Dark brown to black |
| Neurons | Dark brown |
| White and gray matter | Yellowish brown |
| Nerve fibers, axons | Brown to black |
PROCEDURE NOTES:
-
- Acid clean all glassware/plasticware (Part 12086) and rinse thoroughly in several changes of distilled water.
- No metals of any kind should come in contact with silver solutions to prevent precipitation of silver salts. Use plastic forceps (Part 5500) or paraffin coated metal forceps..
- Drain slides after each step to prevent solution carry over.
- Do not allow sections to dry out at any point during procedure.
- A maximum of 8 slides per 40 ml of Solution A: Silver Nitrate 20%, Aqueous is recommended for proper silver development.
- If using a xylene substitute, follow manufacturer’s recommendation for deparaffinization and clearing steps.
REFERENCES:
-
- Carson, Freida L. and Christa Hladik Cappellano. Histotechnology: A Self-instructional Text. 4th ed. Chicago: ASCP Press, 2015. 196-199.
- King, Lester. “The Impregnation of Neurofibrils”. Yale Journal of Biology and Medicine 14.1 (1941). 59-68.
- Modifications developed by Newcomer Supply Laboratory.


