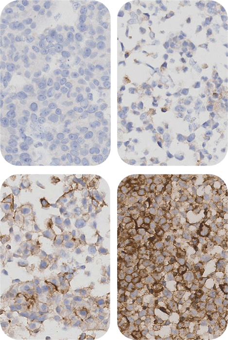
PD-L1 Analyte ControlDR
HistoCyte Laboratories’ PD-L1 Analyte ControlDR consists of four different cell lines with PD-L1 expression levels of high, intermediate, low and negative. Ideal for use as a same slide control for PD-L1 to demonstrate the sensitivity of your assay and improve confidence in the result. These cell lines are derived from the following tumors:
Cell line A: Breast ductal carcinoma
Cell line B: Osteosarcoma
Cell line C: Fibrosarcoma
Cell line D: T-cell non-Hodgkin lymphoma
- Cells are fixed in 10% neutral buffered formalin and paraffin wax embedded.
- Sections are cut at 4µm, mounted on positively charged slides and dried overnight at 37ºC.
- Cell microarrays (CMA) contain cores that are 1.5-2mm in diameter and 3-3.5mm in length. It is possible to obtain over 300 sections depending on thickness.



